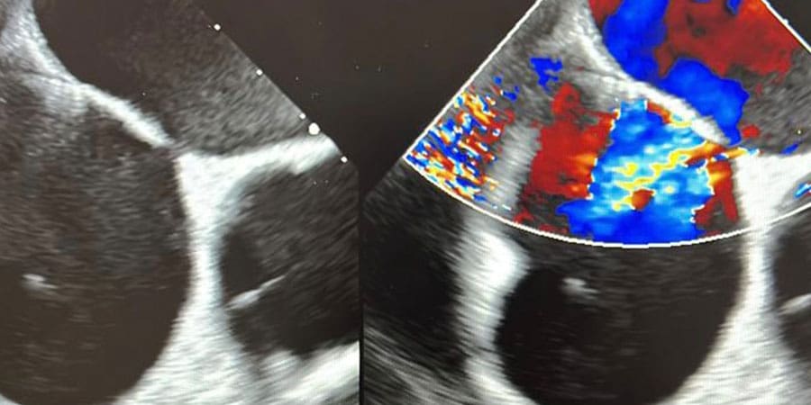
تمكن فريق طبي في مستشفى جامعة السلطان قابوس من إجراء عملية قسطرة ناجحة، لثقبين في الحاجز الأذيني لحالة مستعصية نادرة؛ عانى بسببها المريض من نزول حاد في مستوى الأوكسجين حالة الجلوس أو الوقوف ما يسمى ضيق النفس القيامي.

وقام الفريق..
بقيادة كل من الدكتور فهد بن عبدالله الكندي طبيب استشاري أول في القسطرة التداخلية والهيكلية، والدكتور خلفان بن سالم السنيدي طبيب استشاري أول في القسطرة الهيكلية للأطفال- بإجراء العملية بنجاح وإغلاق الثقبين؛ ما أدى إلى تحسن مستوى الأوكسجين عند المريض من ٦٥ إلى ٩٠ بالمائة عند الجلوس.
يذكر أن..
ضيق النفس القيامي يعد من الأمراض النادر رؤيتها بشكل عام، كما أن فتحات القلب أحد أسبابها النادرة.